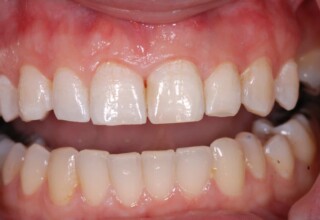
Αισθητικές Αποκαταστάσεις
Ως αισθητικές αποκαταστάσεις ονομάζουμε τις οδοντιατρικές παρεμβάσεις που σκοπό έχουν να βελτιώσουν ή να αποκαταστήσουν την εμφάνιση των δοντιών σε υψηλότερο επίπεδο ή δυνατόν και στην τελειότητα. Κυμαίνονται από απλές ελάχιστης παρέμβασης μέχρι πολύπλοκες ολικής αναμόρφωσης αποκαταστάσεις.
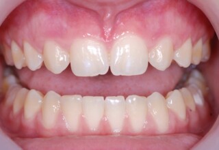
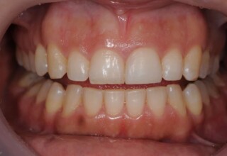
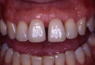
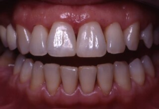
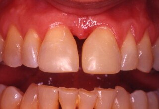
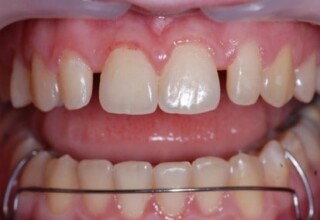
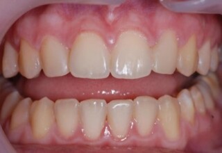
Αποκατάσταση διαστημάτων μεταξύ κεντρικών και πλαγίων τομέων
Τα διαστήματα έχουν δημιουργηθεί κυρίως λόγω των στενών πλαγίων. Μετά την ολοκλήρωση της ορθοδοντικής θεραπείας τα διαστήματα “έκλεισαν” με την τοποθέτηση δύο αποκαταστάσεων σύνθετης ρητίνης.
Λευκάνσεις
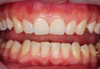
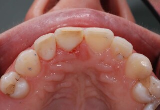
Λεύκανση Απονευρωμένων
Τα απονευρωμένα δόντια πολλές φορές χάνουν την φωτεινότητα τους και σκουραίνουν σε αντιαισθητικό επίπεδο. Η λεύκανση τους προϋποθέτει άψογη απονεύρωση και υπομονή. Τοποθετείται ένα σφράγισμα στη ρίζα του δοντιού για να περιοριστεί η δράση του λευκαντικού υγρού μόνο στο τμήμα του δοντιού που είναι εμφανές στην στοματική κοιλότητα. Στην συνεχεία απαιτούνται 1-5 σύντομες συνεδρίες τοποθέτησης του λευκαντικού υλικού. Μετά τον αποχρωματισμό του δοντιού τοποθετείται ένα σφράγισμα ρητίνης με άψογη συγκόλληση για όσο το δυνατόν μακροχρόνια αποφυγή της μικροδιείσδυσης.
Αρχική εμφάνιση

Τελική εμφάνιση

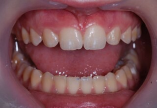
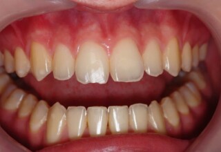
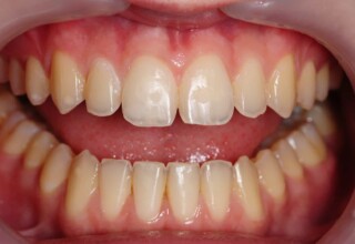
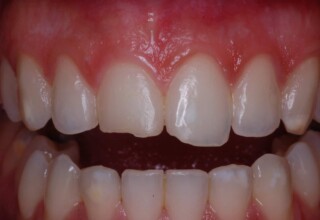
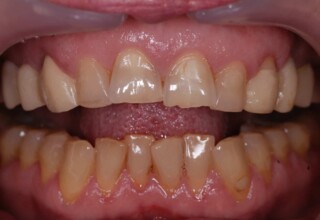
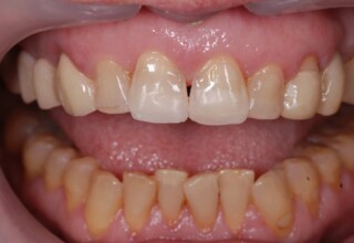
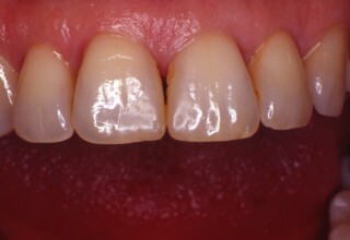
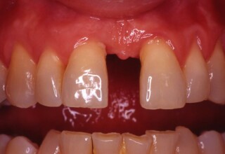
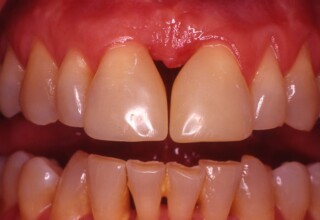
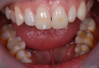
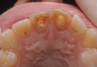
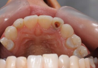
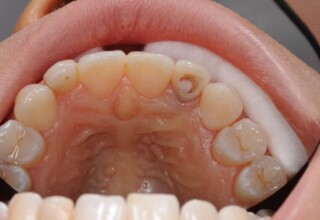
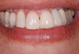
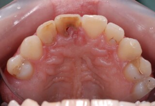
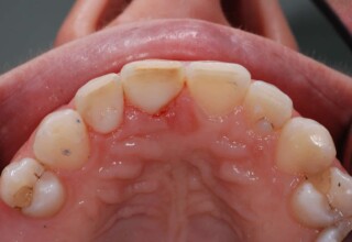
Δυσχρωμικοί άνω πλάγιοι τομείς
Αρχική εμφάνιση

Τελική εμφάνιση

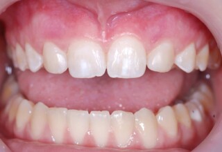
Αρχική εμφάνιση

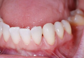
Τελική εμφάνιση

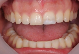
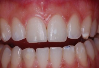
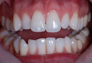
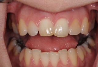
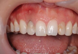
Λεύκανση απονευρωμένου κεντρικού τομέα και αύξηση ύψους με ρητίνη
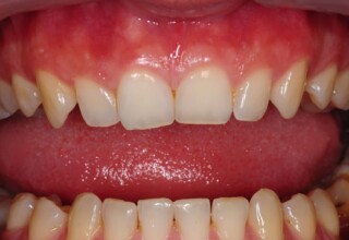
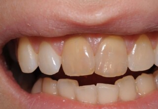
Λεύκανση ζωντανού άνω προγομφίου, λεύκανση όλων και νέα σφραγίσματα
Αρχική εμφάνιση

Τελική εμφάνιση

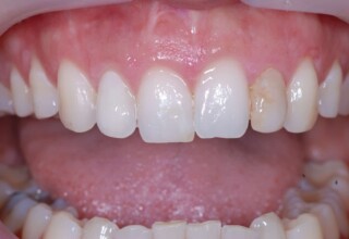
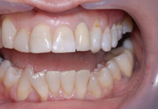
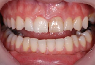
Όψεις Σύνθετης Ρητίνης
Οι όψεις ρητίνης προσφέρουν έναν οικονομικό τρόπο αισθητικής βελτίωσης της εμφάνισης των προσθίων δοντιών ενίοτε και των προγομφίων. Οι δυνατότητες τους πολλές, μπορούν να κάνουν και θαύματα! Ο μονός περιορισμός η κλινική ευχέρεια και η φαντασία του επεμβαίνοντος. Σε αυτήν την ασθενή οι τέσσερεις άνω τομείς είχαν ο καθένας το δικό του πρόβλημα(δυσχρωμία, απόκλιση) και επιπλέον: διαστήματα, πολλαπλές αποχρώσεις, κακή σχέση μεταξύ τους και με τα ούλα. Αποκαταστάθηκαν με τέσσερεις άμεσες όψεις ρητίνης (η μια πάνω σε στεφάνη πορσελάνης εμφυτεύματος!!!) οι οποίες κατασκευάστηκαν ενδοστοματικά!


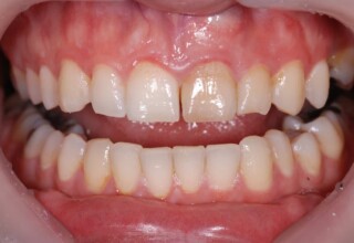
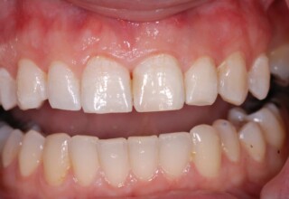
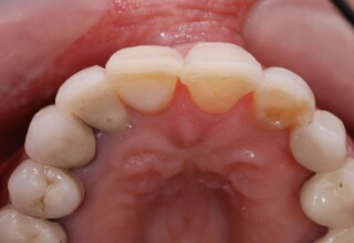
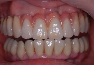
Όψεις Πορσελάνης
Οι όψεις πορσελάνης είναι ο καλύτερος τρόπος αντιμετώπισης αισθητικών προβλημάτων στην πρόσθια περιοχή του στόματος. Συνδυάζουν συντηρητική αφαίρεση οδοντικής ουσίας και πολύ υψηλή αισθητική απόδοση. Στο παρακάτω εκτεταμένο περιστατικό υπήρχαν: παλαιά σφραγίσματα, δυσχρωμίες, κακό σχήμα και μήκος δοντιών, κακή αναλογία δοντιών-ούλων. Έγινε προσεκτικός εργαστηριακός σχεδιασμός σε εκμαγεία απ’όπου προέκυψαν προσωρινές όψεις που τοποθετήθηκαν στο στόμα για δοκιμή και διορθώσεις. Όταν οριστικοποιήθηκαν οι μετατροπές, οι προσωρινές χρησιμοποιήθηκαν σαν οδηγός για τις μόνιμες. Οι πέντε μόνιμες όψεις πορσελάνης που κατασκευάστηκαν για τα πέντε πρόσθια δόντια της άνω απεκατέστησαν σχεδόν άψογα την αισθητική εμφάνιση της ασθενούς.





Αρχική εμφάνιση

Τελική εμφάνιση

Εκτεταμένα Περιστατικά
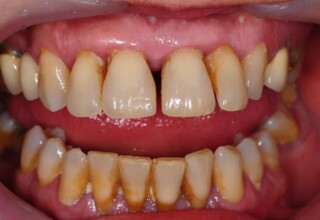
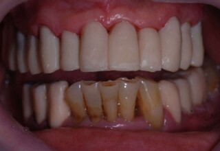
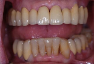
Εκτεταμένο Περιστατικό Ακίνητης Αποκατάστασης
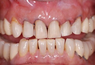
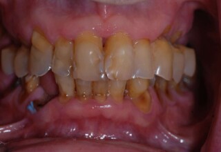
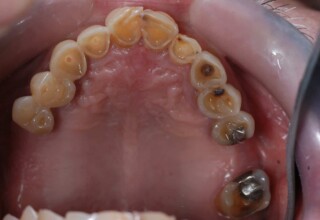
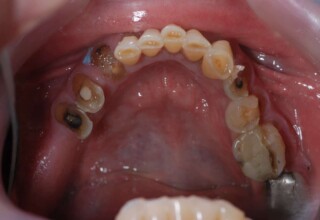
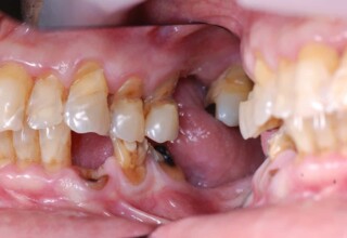
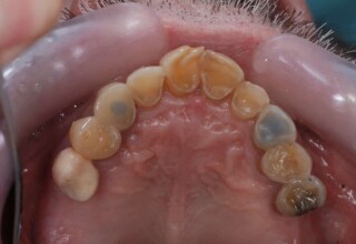
Εκτεταμένη αποκατάσταση με στεφάνες(θήκες) σχεδόν σε όλα τα δόντια λόγω εκτεταμένων αποτριβών, παλαιών αποκαταστάσεων, οπισθίων απονευρώσεων και αισθητικών προβλημάτων. Ο ασθενής(60 ετών) παρουσίαζε έντονο βρυγμό (τρίξιμο δοντιών) που δεν είχε αντιμετωπίσει ποτέ, με αποτέλεσμα μεγάλες αποτριβές που απειλούσαν την ακεραιότητα των οπισθίων δοντιών. Οι ανασυστάσεις(σφραγίσματα) των δοντιών έγιναν κυρίως με συγκολλούμενα ρητινώδη υλικά και τρεις χυτούς άξονες ψευδοκολοβώματα. Τοποθετήθηκαν προσωρινές στεφάνες όπου εκτιμήθηκε το επιθυμητό μέγεθος, το σχήμα και η θέση των δοντιών πριν κατασκευαστούν οι τελικές μόνιμες στεφάνες.
Αρχικό χαμόγελο

Τελικό χαμόγελο

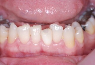
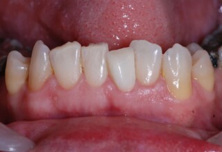
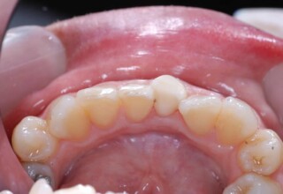
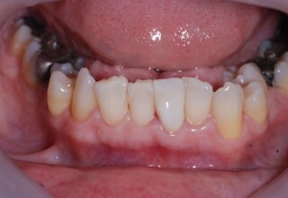
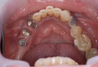
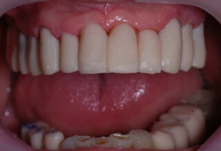
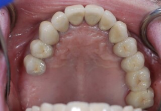
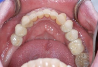
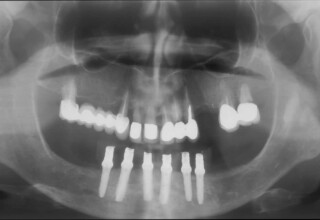
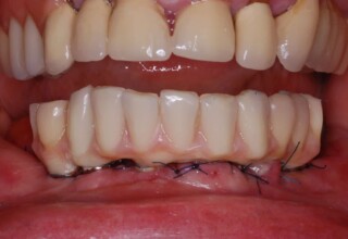
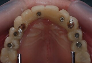
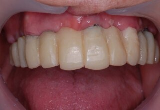
Ολική Στοματική Αποκατάσταση σε Εμφυτεύματα με διαφορετική προσέγγιση στην Άνω και Κάτω Γνάθο
Κάτω γνάθος: εξαγωγές, άμεση τοποθέτηση εμφυτευμάτων και άμεση φόρτιση(την ίδια ημέρα) με προσωρινή γέφυρα
Άνω γνάθος: σταδιακές εξαγωγές, σταδιακή τοποθέτηση εμφυτευμάτων και σταδιακή ενσωμάτωση τους στην προσωρινή γέφυρα ώστε η ασθενής να μην μείνει ούτε μια ημέρα χωρίς αποκατάσταση. Στόχος η συνεχής λειτουργική και αισθητική αποκατάσταση της ασθενούς χωρίς άμεση φόρτιση των εμφυτευμάτων λόγω ανατομικών ιδιαιτεροτήτων.
Χρησιμοποιήθηκαν παλαιές χαμογελαστές φωτογραφίες της ασθενούς γιατί είχε χαθεί τελείως το φυσικό σχήμα των δοντιών εξαιτίας των πολλαπλών προσθετικών προσπαθειών που είχαν γίνει στο παρελθόν. Μεταφέρθηκε στην προσωρινή γέφυρα η σχέση των φυσικών δοντιών μεταξύ τους άλλα και με τα χείλη. Δοκιμάστηκε η φώνηση και η μάσηση με δυο διαφορετικές προσωρινές άνω γέφυρες και εκτιμήθηκε η αισθητική απόδοση τους. Αφού επιτεύχθηκαν σε βαθμό ικανοποιητικό η φώνηση και η αισθητική εμφάνιση της οδοντοφυΐας, η προσωρινή αποκατάσταση χρησιμοποιήθηκε ως οδηγός για την τελική.




Αρχικό

Ενδιάμεσο

Τελικό

Ειδικές Περιπτώσεις
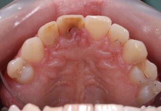
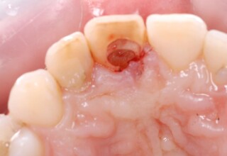
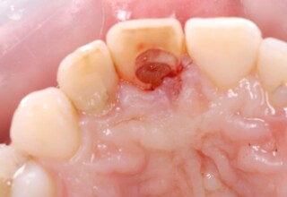
Δύσχρωμα απονευρωμένα δόντια
Μια ιδιαίτερη περίπτωση δύσχρωμων απονευρωμένων δοντιών που ο κεντρικός είχε βλάβη από εξωτερική απορρόφηση. Έγινε καθαρισμός του κεντρικού από την βλάβη και επειδή δεν μπορούσε να λευκανθεί λόγω της επαφής με τα ούλα, σφραγίστηκε σε πρώτη φάση, μετά λευκάνθηκε και στο τέλος έγινε η τελική αποκατάσταση.
Αρχική εμφάνιση

Τελική εμφάνιση

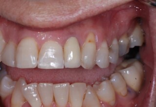
Αποκατάσταση Οπίσθιου Απονευρωμένου Δοντιού με Ανασύσταση Σύνθετης Ρητίνης
Η συνήθης αποκατάσταση ενός απονευρωμένου οπισθίου δοντιού είναι με μια στεφάνη. Ο κύριος λόγος είναι η προληπτική προστασία από κάταγμα και την επακόλουθη εξαγωγή. Σε πολύ συγκεκριμένες περιπτώσεις όπου εξειδικευμένα κριτήρια (κυρίως η ποσότητα της εναπομείνουσας οδοντικής ουσίας) ικανοποιούνται ή όταν η οικονομική δυνατότητα του ασθενή το επιβάλει, μια εκτεταμένη ανασύσταση συνθέτης ρητίνης μπορεί ν’αποκαταστήσει την αισθητική και λειτουργικότητα του δοντιού.
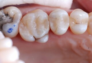
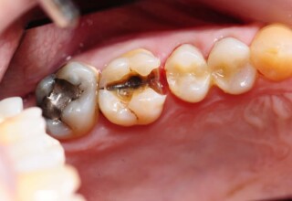
Αποκατάσταση Ραγισμένου Γομφίου με σφράγισμα Σύνθετης Ρητίνης
Τα ραγισμένα δόντια αποτελούν μια πρόκληση για την επανορθωτική οδοντιατρική από την άποψη της δυσκολίας της αποκατάστασης(συνήθως μεγάλα σφραγίσματα) άλλα κυρίως από τα προληπτικά μετρά που πρέπει να παρθούν για να αποφευχθεί ένα πλήρες κάταγμα. Η ακόλουθη περίπτωση παρουσιάζει την απλούστερη προσέγγιση της άμεσης συγκολλούμενης αποκατάστασης από σύνθετη ρητίνη. Βασίζεται στο σκεπτικό ενός συγκολούμμενου σφραγίσματος που «κρατάει» τα εναπομείναντα οδοντικά τμήματα «ενωμένα». Ο συγκεκριμένος γομφίος παρέμεινε ακέραιος για δυο χρονιά, οπότε χρειάστηκε απονεύρωση γιατί νεκρώθηκε και κατόπιν τοποθετήθηκε στεφάνη για αυξημένη προστασία.
Ακίνητη αποκατάσταση με συνδυασμό κλασσικού και τύπου δακτυλίου συγκρατήματος.
Η απώλεια του άνω προγομφίου αποκαταστάθηκε με μια ακίνητη γέφυρα. Το πρόσθιο στήριγμα ήταν ήδη αποκαταστημένο με στεφάνη οπότε μια κλασσική στεφάνη αποτέλεσε το πρόσθιο συγκράτημα. Το οπίσθιο στήριγμα ήταν ένα ακέραιο, ασφράγιστο δόντι με εκτεταμένη υφίζηση ουλών. Για να αποφευχθεί ο εκτεταμένος τροχισμός και η πιθανή απονεύρωση του δοντιού χρησιμοποιήθηκε ένα συγκράτημα τύπου μεταλλικού δακτυλίου το οποίο προσφέρει ικανοποιητική συγκράτηση από το 2008.











































































































